C o m p o s i t e B o n d i n g

Composite Bonding

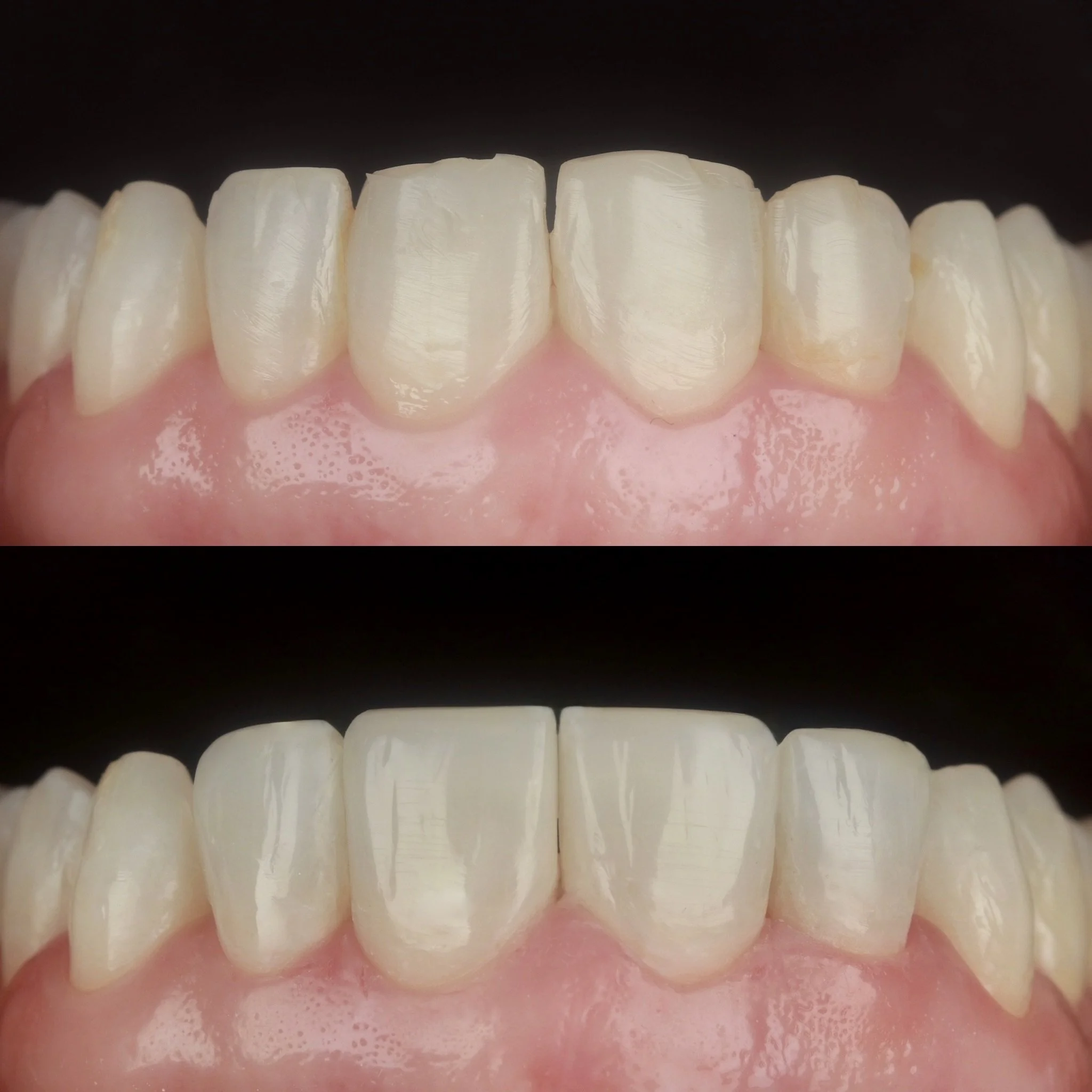
Composite bonding is the use of composite resin filling material applied to the surface of your teeth to perfect your smile without the need for preparation of your teeth. It involves the careful layering of resin which can then be polished to blend into the surrounding tooth structure. 

Bonding can be applied to the; edges of teeth, partial coverage to replace existing fillings as well as full coverage (also known as composite veneers). 

Although it does have its limitations it can be used in a variety of circumstances such as;

  • Chipped or broken teeth

  • Closing spaces between teeth

  • Change the shape and proportions of teeth

  • Protect areas of gingival recession

  • Mask the appearance of dark teeth

The success of bonding depends on the way the upper and lower teeth interact and move against each other, known as dental occlusion. If you present with a difficult or tight bite and have dental crowding it is generally recommended that you carry out a course of Invisalign tooth straightening to correct these issues otherwise both you and Gary will be tortured with chipped bonding repair appointments.

Gary personally advises bonding to be used instances where a major smile enhancement is not required but instead subtle small changes. The main drawback of bonding is that is not as strong or long term as other restorative materials such as porcelain and it also tends to stain. The lifespan is likely to last between 3-5 years before requiring replacements.

Similar to porcelain veneers it may be beneficial to carry out a digital smile design/diagnostic wax up to visualise these changes prior to having the procedure carried out. 

Arrange Your Composite Bonding Consultation Today!